Síntomas periodontitis, ¿cómo detectarla?
Hablamos de periodontitis cuando existe una infección ‘profunda’ de la encía y el resto de tejidos que sujetan el diente. Esto puede provocar la pérdida dental. Además, repercute en la salud general: aumentando el riesgo cardiovascular, la descompensación de la diabetes o el parto prematuro.
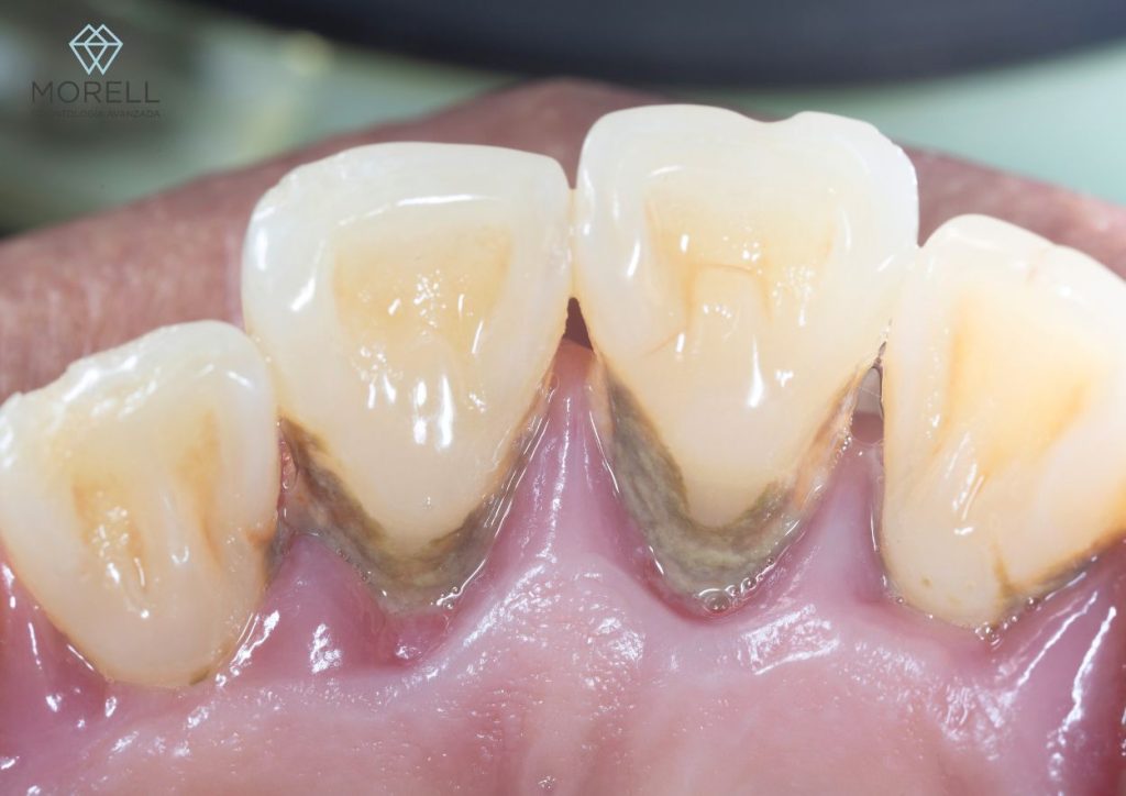
La detección temprana de la periodontitis es clave, por lo que es importante estar atento a los posibles síntomas. El sangrado, sea espontáneo o durante el cepillado, y el enrojecimiento de la encía, son señales evidentes de que algo pasa en nuestra boca, aunque no haya pérdida de hueso, como ocurre en la gingivitis. Que la encía sangre no es normal y debe hacer encender las primeras señales de alarma.

Otro de los síntomas de una periodontitis o enfermedad periodontal son el mal aliento, hipersensibilidad al frío, movilidad o separación de dientes, retracción de la encía y una percepción de alargamiento del diente.
El deterioro de las encías puede tener distintas consecuencias en nuestra salud general. La prevención en este campo se convierte por lo tanto en una opción necesaria, y el área de periodoncia se encarga de ella.
¿Cómo prevenir la periodontitis?
La periodontitis afecta a más de la mitad de los adultos, tratándose de una enfermedad fácilmente prevenible, por ello, a continuación te ofrecemos unas pautas a seguir muy sencillas.
- Revisar periódicamente tus encías con tu dentista para su valoración y recibir un correcto diagnóstico
- Cepillado de los dientes al menos dos veces al día con un cepillo de dientes manual o eléctrico
- Uso del cepillo interdental a diario para cepillar entre los dientes (o el uso del hilo dental)
- Se pueden usar enjuagues bucales específicos o pastas dentales además de la limpieza para reducir la inflamación (siempre bajo recomendación del profesional de la salud dental)
- Evitar el tabaco, mantener un peso saludable, una dieta equilibrada, ejercicio, reducir el estrés
- Controlar el nivel de azúcar en la sangre es fundamental ante la existencia de diabetes

¿Qué tratamientos existen para tratar la enfermedad periodontal?
En Clínica Dental Morell podemos tratar la periodontitis a través de los siguientes tratamientos:
- Limpieza dental / profilaxis: es un tratamiento fundamental para mantener una higiene bucal cuidada y correcta. Consiste principalmente en eliminar el sarro y las manchas de los dientes y de debajo de las encías y debe ser realizada por profesionales.
- Raspado y alisado radicular (RAR): también conocido como raspado de encías, es un tratamiento periodontal que consiste en la eliminación de las bacterias orales que causan la periodontitis
- Estudio periodontal: consiste en un conjunto de pruebas diagnósticas, que sirven para detectar el grado de afectación de enfermedades infecciosas de origen inflamatorio, como la periodontitis.
- Cirugía periodontal: Este tratamiento está indicado para pacientes con periodontitis muy avanzada ya que elimina las bolsas de infección, permitiendo que las encías se vuelvan a pegar a la base de los dientes.

- Mantenimiento periodontal: Es la suma de los procedimientos encaminados a mantener la salud oral del paciente, así como a la detección precoz y tratamiento de la enfermedad periodontal, bien sea nueva o recurrente. El primer control de mantenimiento se realiza al cabo de un mes tras la finalización del tratamiento periodontal.
- Regeneración tisular guiada: es un procedimiento quirúrgico que busca específicamente regenerar los tejidos periodontales cuando la enfermedad está en una fase avanzada.
- Injertos de encía: Consiste en extraer tejido de una zona donante como es el paladar o la zona de la muela del juicio superior, para cubrir una zona sobre diente o sobre implante.
Cuidamos de tu salud dental
En Clínica Dental Morell ponemos a tu disposición tratamientos de periodoncia en Valencia más avanzados. Pide tu cita en nuestra clínica para comenzar tu tratamiento, o informarte de tu caso particular, para que podamos ayudarte a darle solución y cuidar de tu salud bucodental.